Appareil dentaire à Alger : des solutions orthodontiques modernes et adaptées.
Des solutions d'appareil dentaire à Alger, adaptées à chaque situation et choisies pour leur efficacité.
Chez SmileHARMONY , chaque sourire bénéficie des solutions les plus avancées, pour un appareil dentaire plus confortable et un traitement plus rapide et aux résultats durables.
A la recherche d’un appareil dentaire ? Découvrez l’étendue de l’arsenal thérapeutique de SmileHARMONY à Benaknoun.
Une clinique équipée pour chaque situation
Chez SmileHARMONY à Alger, il n’existe pas un appareil dentaire unique qui conviendrait à tous les patients. Le choix du dispositif dépend de nombreux facteurs : âge, type de malocclusion, objectifs esthétiques et fonctionnels.
Ce n’est jamais le choix de l’appareil qui vient en premier , mais le diagnostic. L’appareil sera choisi en fonction du plan de traitement arrêté et non l’inverse.
L’objectif reste toujours le même : obtenir un résultat beau et fonctionnel en harmonie avec votre visage.
Aussi SmileHARMONY dispose d’un éventail d’appareils orthodontiques et d’équipements de diagnostic . Notre orthodontiste, le Dr BENAHMED établit un plan de traitement personnalisé, guidé par des données précises et une vision à long terme de votre santé bucco-dentaire.
Appareil dentaire métallique : Brackets Autoligaturants.
Une solution moderne pour un traitement efficace et contrôlé.
Les brackets autoligaturants modernes représentent une avancée majeure par rapport aux bagues conventionnelles. Grâce à leur mécanisme de clip intégré — qui remplace les élastiques de ligature — ils génèrent moins de frottement sur le fil d’arc, accélérant le déplacement dentaire tout en réduisant la pression ressentie.
- Durée de traitement réduite.
- Confort supérieur
- Hygiène facilitée
- Séances espacées .
- Résultats esthétiques meilleurs.
Idéaux pour les malocclusions complexes nécessitant un contrôle précis du mouvement dentaire , ils représentent la solution la plus complète qui permet tous les mouvements dentaires.
Appareil dentaire discret
Des solutions d’appareil dentaire discret existent qui permettent un traitement orthodontique moins visibles à ceux qui le souhaitent , dans le respect des indications médicales.
Appareil dentaire céramique
Fabriqués en céramique polycristalline ou monocristalline de haute pureté, ces brackets se fondent dans la couleur naturelle de l’émail. Ils offrent la même précision mécanique que les brackets métalliques, avec un rendu esthétique très supérieur.
- Teinte naturelle, non colorante
- Résistance mécanique élevée
- Idéaux pour adolescents & adultes
- Compatible avec tous les protocoles de traitement
Gouttières transparentes (aligneurs)
Fabriqués en résine thermoplastique biocompatible, les aligneurs transparents sont quasiment invisibles et se retirent pour manger, boire et brosser les dents. Chaque gouttière est conçue sur mesure à partir d’un scan 3D précis de votre arcade dentaire.
- Totalement amovibles (repas, brossage)
- Inconfort minimal, sans parties saillantes
- Hygiène bucco-dentaire facilitée
- Indication à poser par l’orthodontiste.
Le choix de l’appareil ne dépend pas uniquement de l’esthétique, mais surtout du diagnostic et de la situation clinique
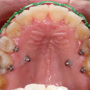
TADS — Mini-Vis d'Ancrage Orthodontique
Un outil d'ancrage précis pour les cas complexes.
Les TADS ( Temporary Anchorage Devices ), ou mini-vis d’ancrage temporaires, sont de minuscules implants en titane posés sous anesthésie locale dans l’os alvéolaire ou maxillaire. Ils servent de point d’appui fixe absolu, permettant des mouvements dentaires impossibles autrefois sans recourir à la chirurgie.
- Ancrage absolu: Permet l’intrusion, l’extrusion ou la distraction d’arcades sans effets secondaires sur les dents adjacentes.
- Réduction importante du recours à la chirurgie: Dans certains cas complexes (béances, sourire gingival), les TADS évitent une intervention chirurgicale sous anesthésie générale.
- Pose rapide et réversible: Posés et retirés en cabinet en quelques minutes, sans suture, sous simple anesthésie locale.
Orthodontie Interceptive
Dès 6 - 7 ans
Agir tôt, c’est souvent agir mieux. En phase de croissance, la mâchoire et les structures osseuses sont encore malléables — une fenêtre thérapeutique précieuse que l’orthodontie interceptive permet d’exploiter chez l’enfant pour prévenir des problèmes majeurs à l’adolescence.
- Classe III (progénisme, prognathisme)
- Palais étroit (expansion palatine)
- Habitudes délétères (succion pouce)
- Canines incluses
- Béances antérieures sevères
- Les anomalies d’éruption dentaire
Ces dispositifs ( disjoncteur palatin, grille linguale, masque facial) agissent sur les bases osseuses, réduisant ou éliminant le recours à des extractions ou à la chirurgie orthognatique plus tard.
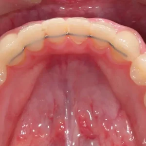
Contention orthodontique: stabiliser les résultats.
Après le traitement actif, une phase de contention est essentielle pour assurer la stabilité des résultats dans le temps.
Contention fixe
Il s’agit d’un fil métallique collé sur la face interne des dents (souvent les inférieures), discret et permanent, qu’il faut porter en continu pour stabiliser l’alignement, sans effort du patient.
Contention amovible
La gouttière est une coque transparente amovible portée initialement jour et nuit, puis uniquement la nuit ; elle est facile à nettoyer mais exige une discipline pour son port régulier.
Imagerie numérique
Un diagnostic précis est la fondation de tout traitement réussi. SmileHARMONY dispose des meilleurs outils de diagnostic et de conception numérique .
Ces outils tels Radiographie 2D ( radiographie panoramique), télé radiographie de profil, et lorsqu’elle est indiquée tomographie 3D basse dose pour une analyse céphalométrique et volumétrique complète de vos structures osseuses; aident au diagnostic et au suivi de l’évolution du traitement, ils complètent l’analyse clinique mais ne la remplacent pas.
L’approche SmileHARMONY
Le plan de traitement est toujours guidé par le raisonnement orthodontique qui intègre l’équilibre du visage, la fonction masticatoire et respiratoire, la stabilité à long terme, le confort et les contraintes du patient. C’est le plan de traitement qui définit le dispositif à utiliser, qui n’est qu’un moyen. .
La qualité du résultat dépend avant tout du raisonnement orthodontique, et de la planification du traitement qui en découle.
Votre sourire mérite les meilleures technologies...celles qui vous apportent un bénéfice concret.
Une première consultation, avec réalisation d’un bilan complet, permettra de définir vos objectifs thérapeutiques, le plan de traitement et l’appareil dentaire adapté à votre situation.
Réponse rapide de notre équipe pendant les heures d’ouverture.
© 2026 SmileHARMONY – Dr BENAHMED N. Spécialiste en Orthopédie dento-faciale à Alger.
